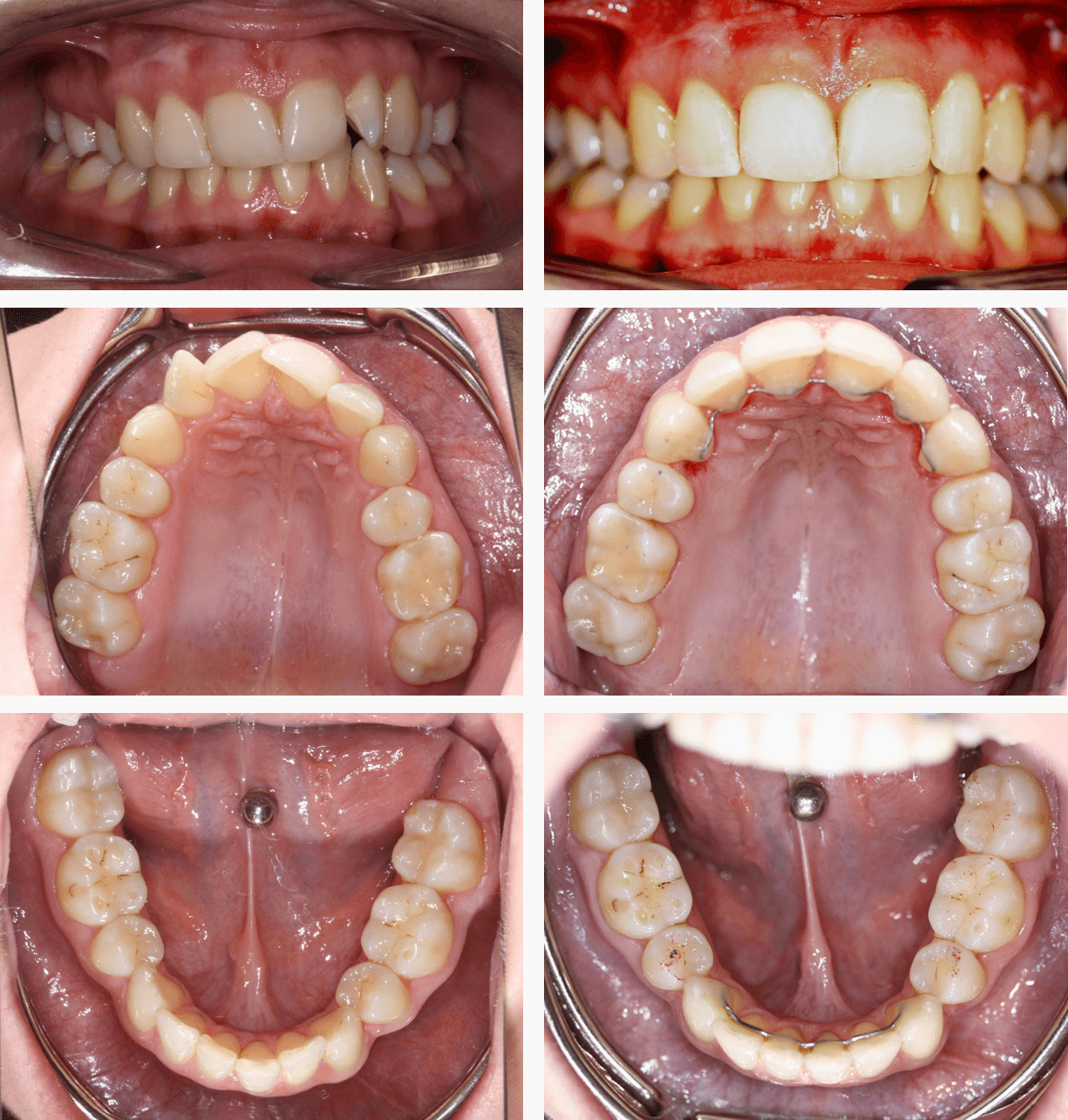
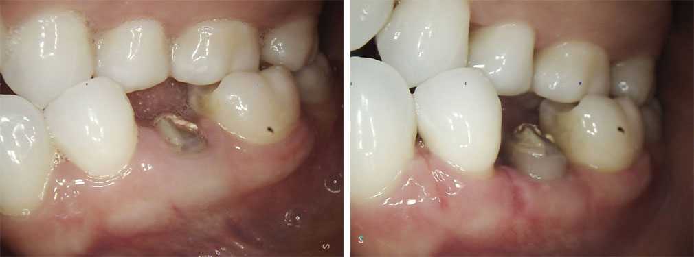
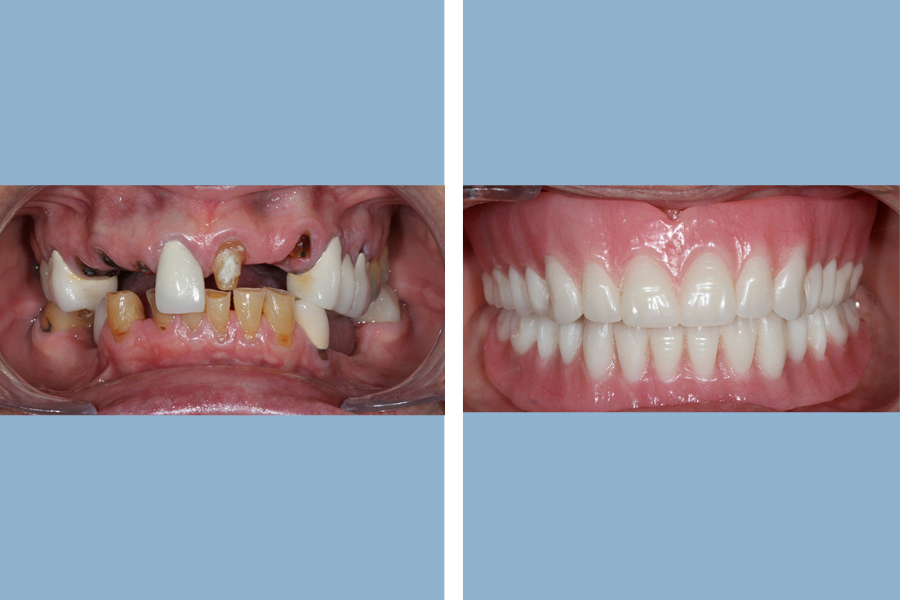
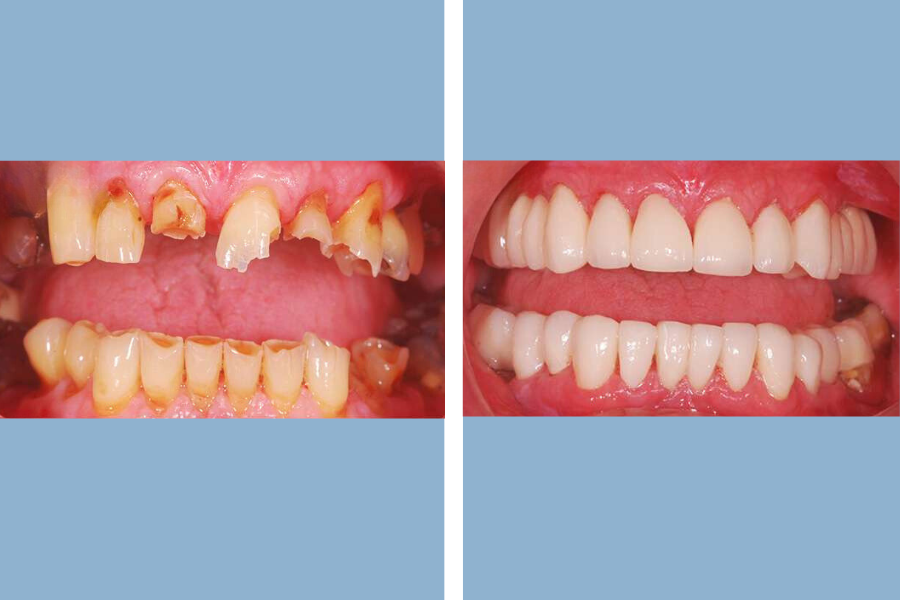
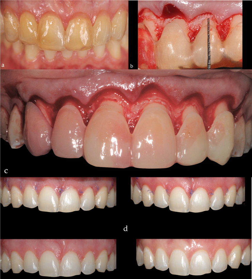
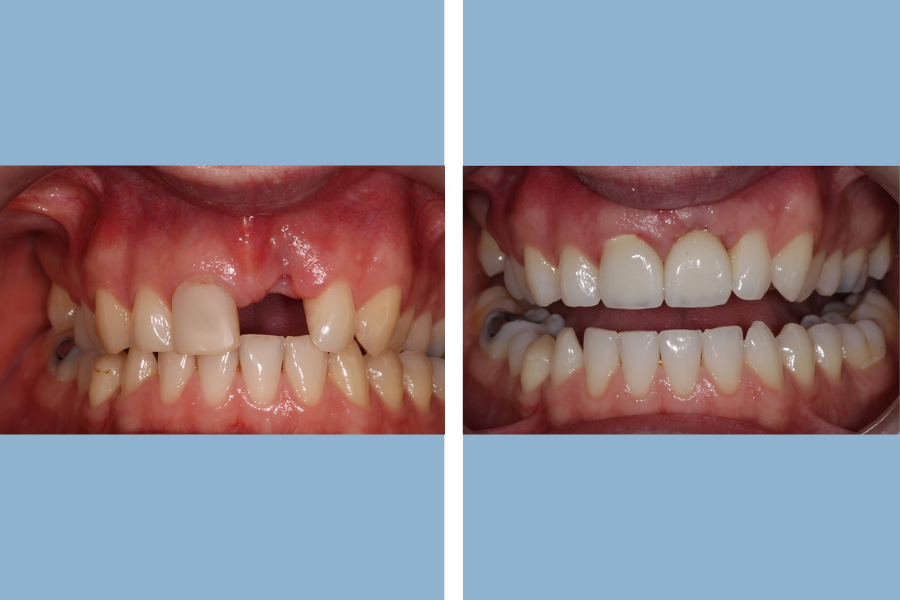
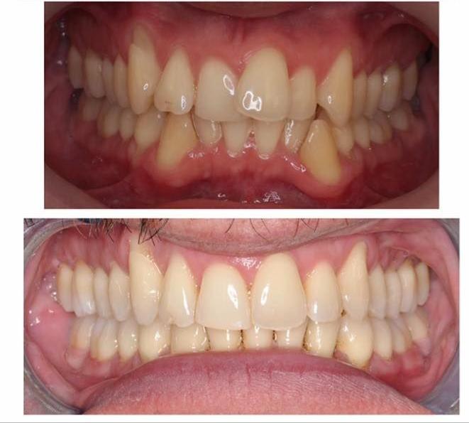
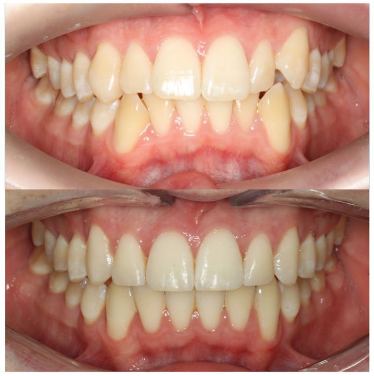
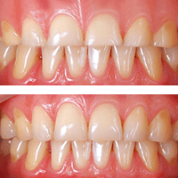
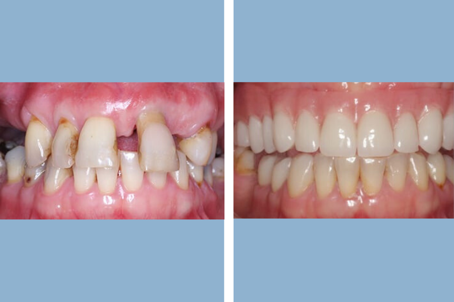
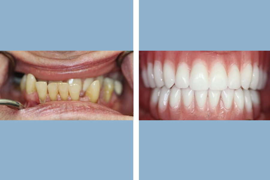
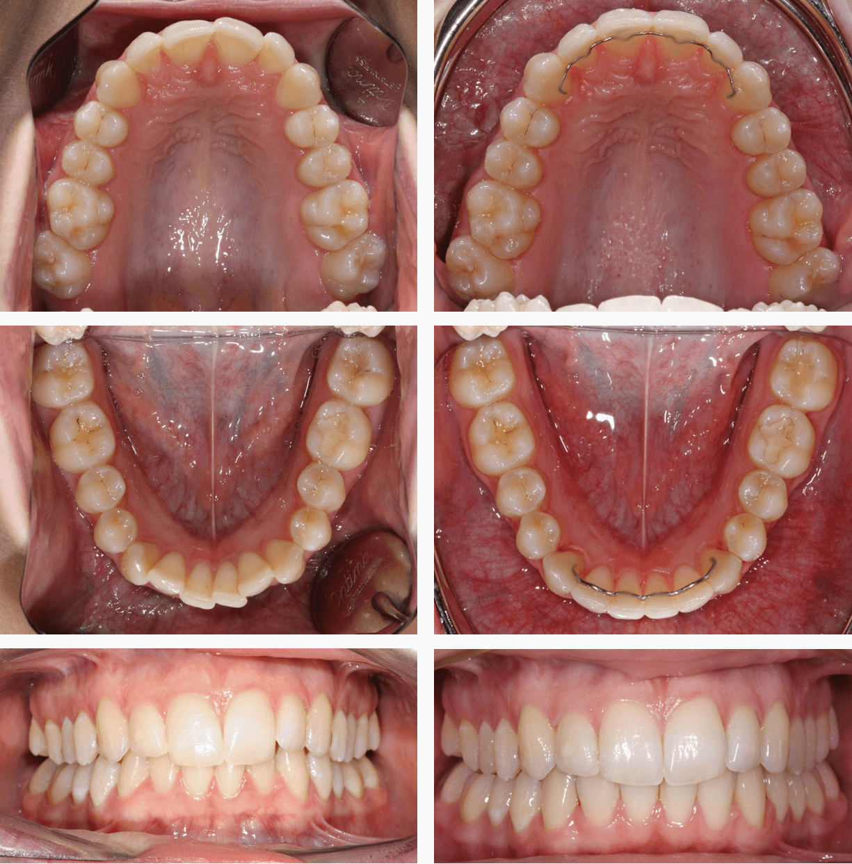
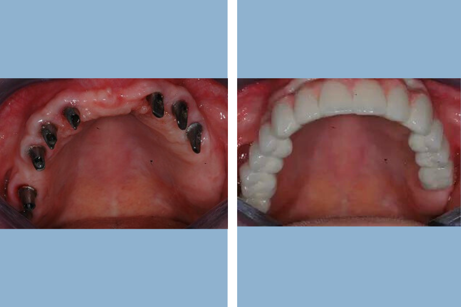
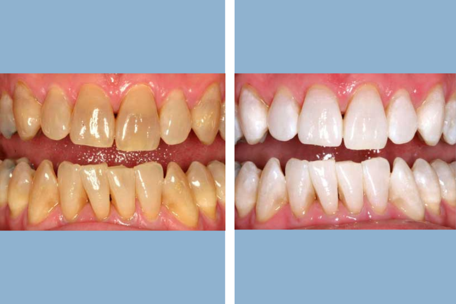
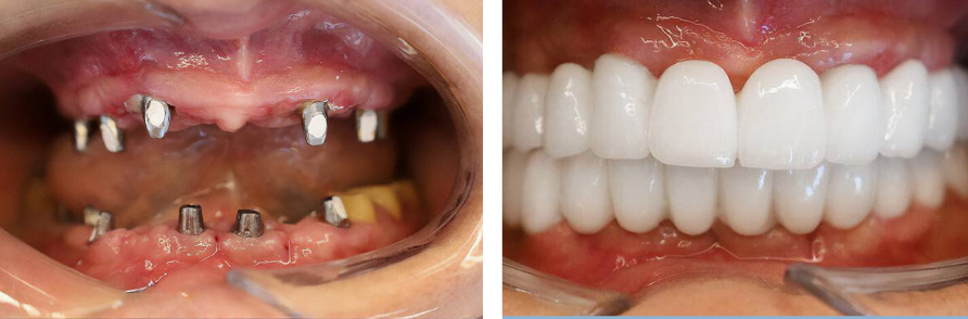
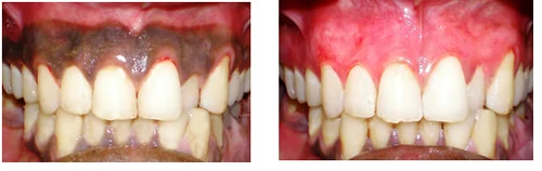
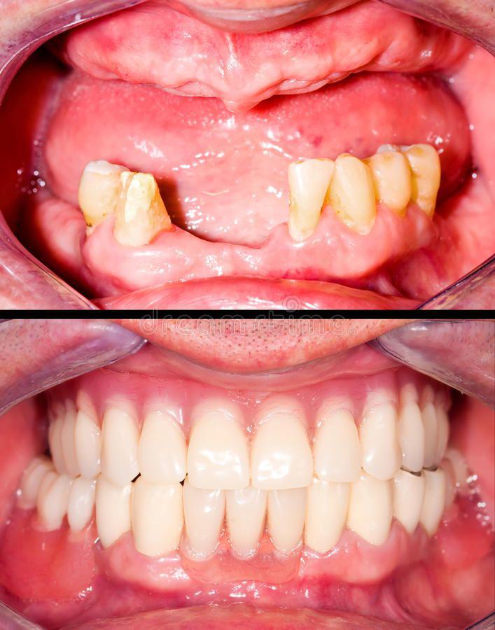
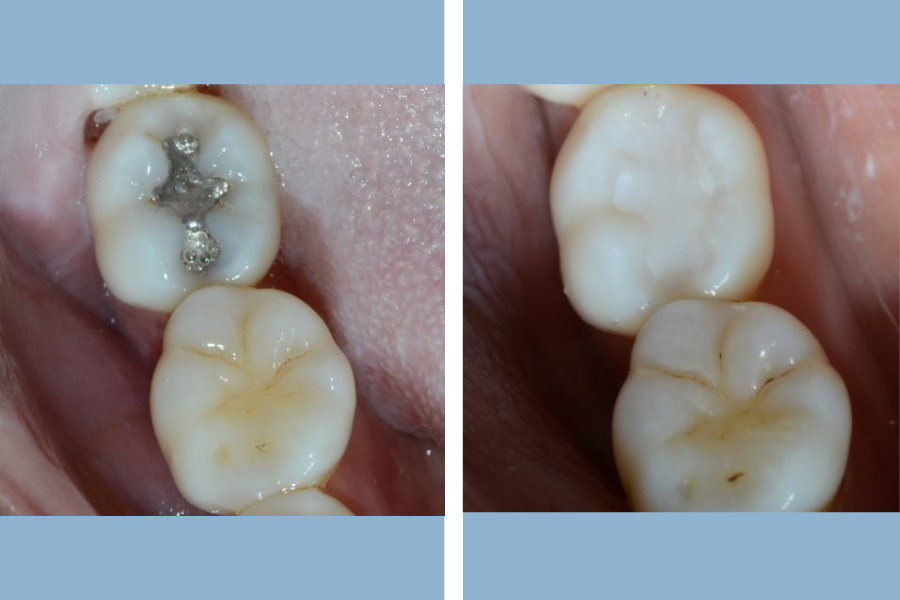
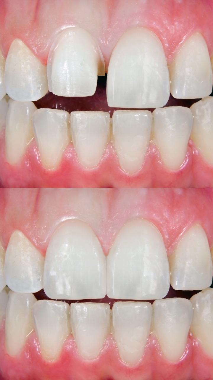
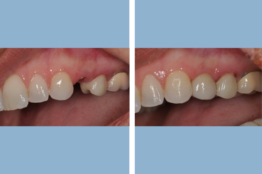
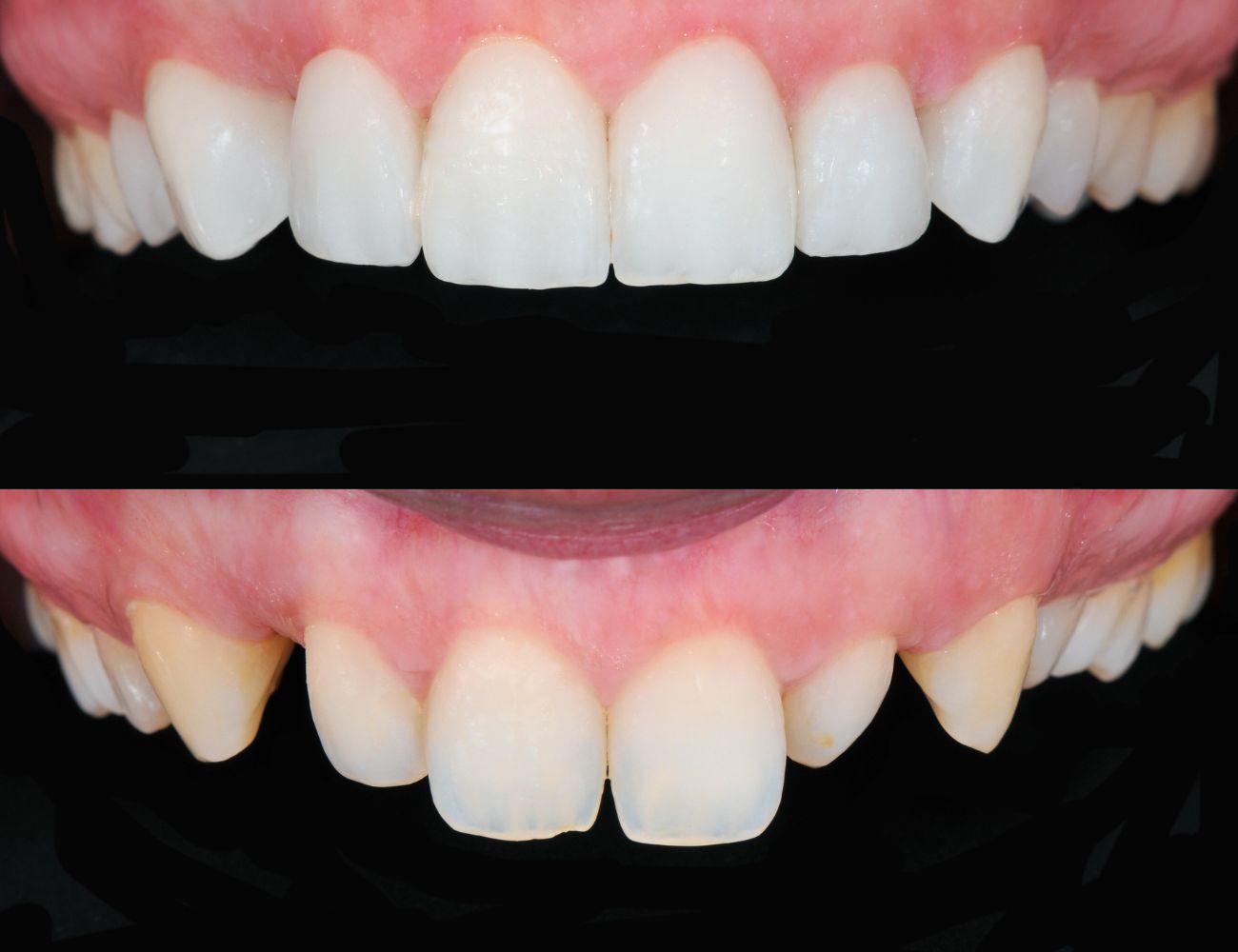
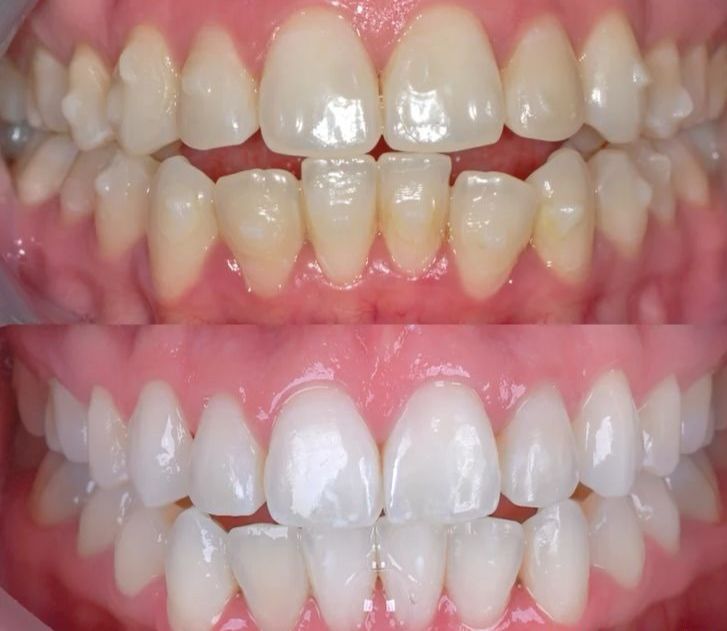
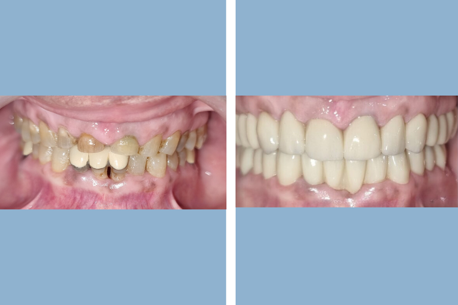
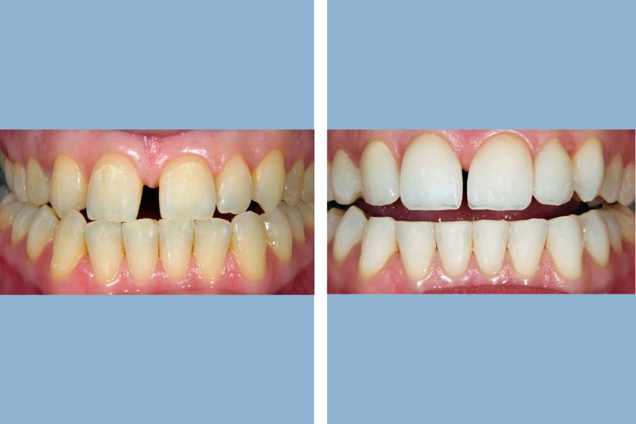
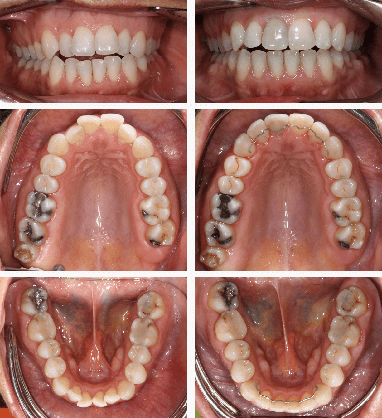
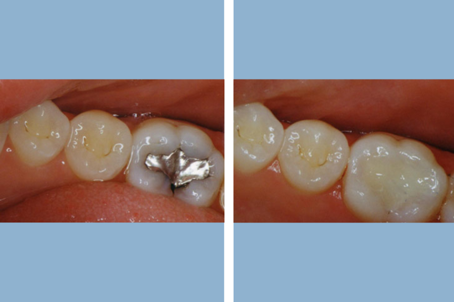
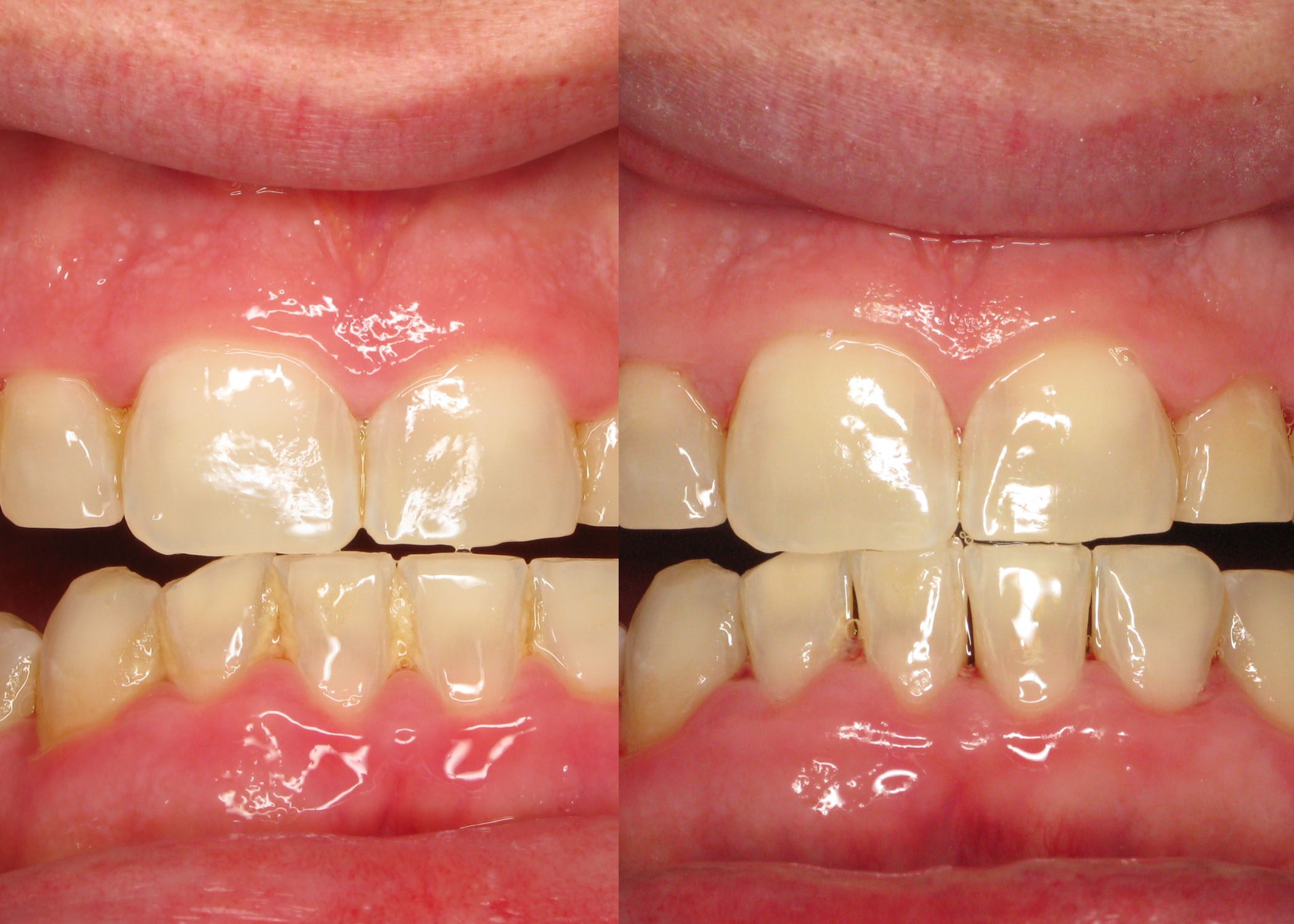
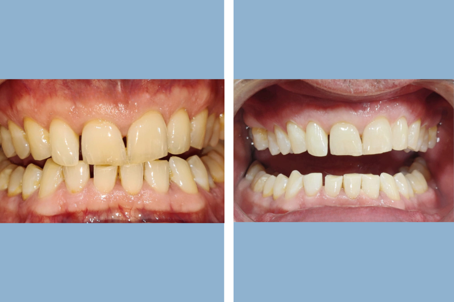
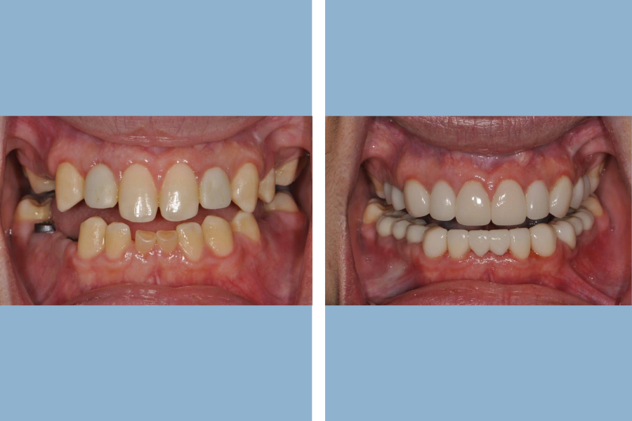
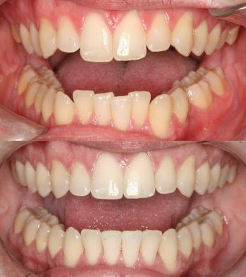
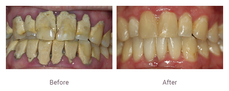
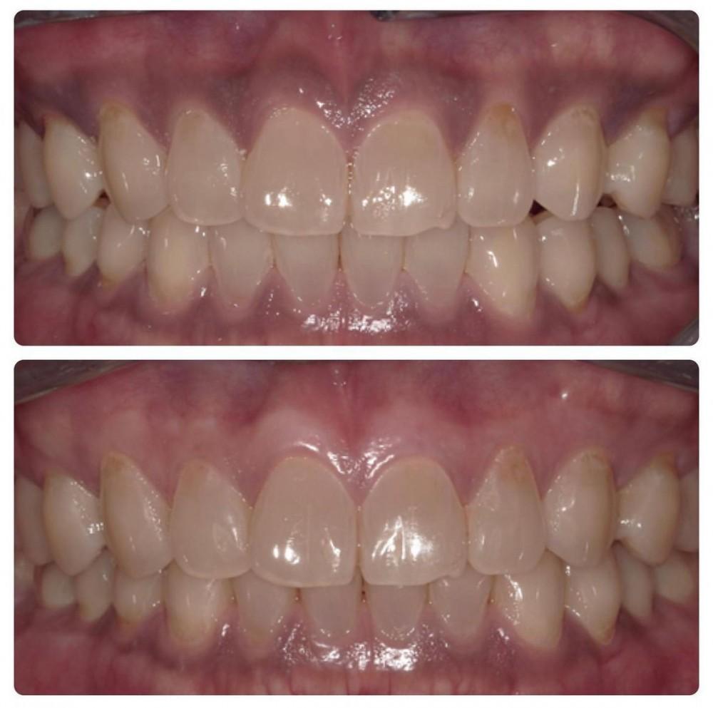
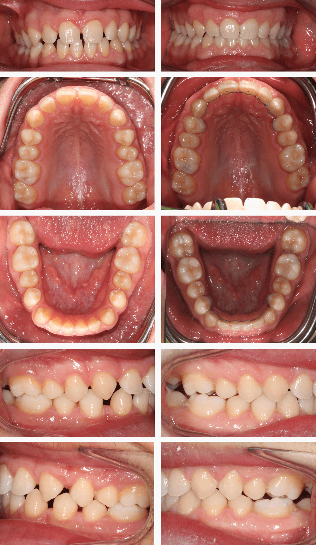
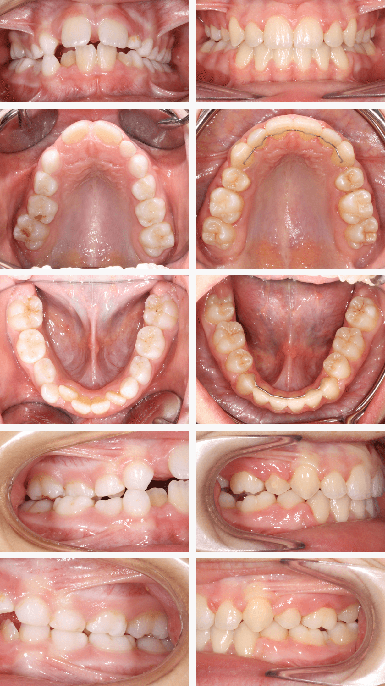
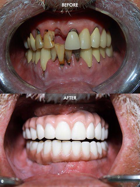
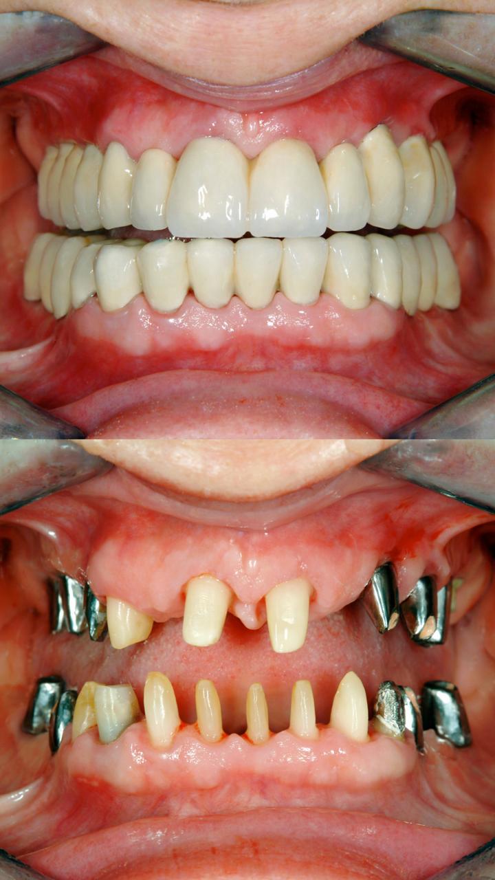
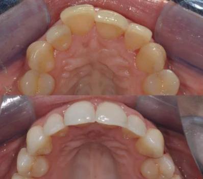
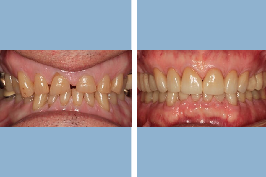
See the Impact of Our Expertise
Experience top-notch dental care with Dantavardhini Dental Clinic. Our expert team is dedicated to providing a wide range of dental services to enhance your smile and oral health. Discover the difference our expertise makes.

Our Testimonials
"I’ve been coming to this clinic for the past three months, and I couldn’t be happier with the care I’ve received. From my first consultation to my regular cleanings, the staff has been incredibly friendly, and the dentist always takes the time to answer my questions. During my consultation, I got an iTero scan report and a full-mouth X-ray, which made it so much easier to understand my dental issues. The dentist took time to explain everything in detail, and I now feel well-informed and confident about my treatment plan. I’m so glad I found this place!"
"After the clinic opened just a few months ago, I decided to give it a try, and I’m so glad I did. The treatment I received for a cavity was quick and painless, and the office is brand new and spotless. During my consultation, I was given both an iTero scan and a full-mouth X-ray, and the dentist took the time to explain the results clearly. It helped me understand exactly what needed to be done. I’ve already recommended this place to several friends!"
"I’ve only been coming to this clinic for two months, but I’ve already had an excellent experience. The hygienist was gentle and thorough during my cleaning, and the dentist was professional and caring. I also received an iTero scan and a full-mouth X-ray during my consultation, and the dentist explained everything in a way I could easily understand. It’s great to see a new clinic offering such great service!"
"I’ve been a patient here for six months now, and I’m very impressed with the care I’ve received. The staff is always friendly and efficient, and the dentist made my root canal procedure as comfortable as possible. During my first visit, I received a detailed iTero scan and full-mouth X-ray, and the dentist thoroughly explained the issues with my teeth. It’s clear that this clinic values patient satisfaction."
"I visited this clinic just a month ago for my first appointment, and I was very impressed! The entire team is welcoming and professional. I needed some fillings, and during the consultation, I was provided with an iTero scan report and a full-mouth X-ray. The dentist explained everything so clearly, and the results were fantastic. I’ll definitely keep coming back."
"It’s been five months since this clinic opened, and I’ve already had two check-ups here. The office has a modern, comfortable feel, and the team really takes the time to ensure your comfort. During my last visit, I received an iTero scan and a full-mouth X-ray, which helped me understand the issues in my mouth better. I’ve had cleanings and a filling done, and I’m very satisfied with the results."
"I’ve been a patient here for about three months, and I’m so glad I found this new clinic! The dental hygienist was super gentle with my cleaning, and the dentist made sure I felt comfortable throughout my procedure. I was also given an iTero scan and a full-mouth X-ray during my consultation. The dentist explained everything in detail, and it really helped me understand my dental needs. This clinic is definitely my new dental home."
"I’ve been coming here for the past four months, and I’m so impressed by how the clinic has grown. The staff is knowledgeable, and I had a painless tooth extraction last month. During my initial consultation, I got an iTero scan and a full-mouth X-ray, and the dentist explained everything in such an easy-to-understand manner. I was nervous about the extraction, but they really put me at ease. I feel confident in their care."
"Just two months ago, I started coming to this clinic, and I can’t say enough good things! The team is friendly, professional, and thorough. During my consultation, I had an iTero scan and a full-mouth X-ray, and the dentist took the time to explain the results in detail. I had an amazing experience getting my dental implants done here, and I’ve already scheduled my next appointment!"
"It’s been six months since this clinic opened, and I’ve been a regular patient since day one. The care here is top-notch. My recent fillings were done quickly and comfortably, and during my consultation, I was given both an iTero scan and a full-mouth X-ray. The dentist thoroughly explained the issues with my teeth, and the results were perfect. I can’t imagine going anywhere else for my dental care now."
Why choose our clinic for this treatment?
At our clinic, we prioritize transparency and comprehensive care from your very first visit. Here’s why you should choose us:
01
Comprehensive Reports from Day One
During your initial consultation, we provide all necessary diagnostic reports, including an iTero scan and full-mouth X-rays, giving you a clear understanding of your dental health.
02
Clear Explanations
Our dentists ensure you fully understand your results, whether it’s cavities, gum issues, or more complex problems, before proceeding with any treatment.
03
Personalized Treatment Plans
We tailor your treatment plan based on your unique needs, so you can feel confident about your care.
04
No Surprises
With detailed reports provided upfront, you’ll know exactly what to expect, including treatment options, costs, and timelines.
05
Patient-Centered Care
We’re committed to your comfort and trust, making sure you feel supported and well-informed throughout your dental journey.
Some FAQs
During your first visit, we use advanced diagnostic tools, including an iTero scan for precise imaging and full-mouth X-rays, to give you a complete understanding of your dental health.
Our dentists will explain your diagnostic results in detail and provide personalized recommendations based on your specific dental needs, ensuring you fully understand your treatment options before proceeding.
No, we believe in complete transparency. You’ll receive a detailed breakdown of the treatment costs, timelines, and procedures upfront, so there are no surprises.
We prioritize patient-centered care. Our team is always available to address your questions and concerns, ensuring you feel supported and confident throughout your dental journey.
Booking an appointment is easy! Simply visit our website or contact our clinic directly to schedule your consultation and start your transformation journey today.

Umesh Revankar